Actualizado 02/01/2016 14:59

Científicos descubren dónde se halla la felicidad

Felicidad
WIKIPEDIA

   MADRID, 2 Ene. (Notimérica) -

   Las personas invierten gran parte de su vida en buscar aquello que les hace felices. Algunos usan el ejercicio, la meditación, hay quien acude a libros de autoayuda. Están los que buscan ganar una gran cantidad de dinero para tener una vida feliz, mientras que otros defienden que "es más rico el que menos necesita". Pero, ¿realmente sabemos qué es la felicidad?.

   El japonés Wataru Sato y su equipo de la Universidad de Kioto (Japón) han encontrado una respuesta desde la perspectiva neurológica que ofrece la web 'Eurekalert.org'.

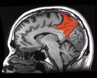
   En general, la felicidad, según su estudio, es una combinación de emociones y satisfacciones de la vida que se unen en la precuña, una región en el lóbulo parietal lateral que se activa cuando se experimenta la conciencia.

   Hay distintas formas de sentirse felices. Por ejemplo, algunas personas se satisfacen más que otras al recibir elogios. En general, los psicólogos han detectado que la combinación de factores emocionales y la satisfacción de la vida constituyen la experiencia subjetiva de ser 'feliz'.

   Pese a las investigaciones, el mecanismo neuronal que se esconde detrás de la felicidad sigue sin estar claro.

   Para el estudio, los investigadores utilizaron escáneres cerebrales de imagen por resonancia magnética. Después, a los participantes les hicieron algunas preguntas como si, por lo general, son felices o qué tan satisfechos están con sus vidas.

   El experimento demostró que quienes tenían una precuña más grande sentían la felicidad más intensamente y eran más capaces de encontrarle un sentido a la vida.

Contenido patrocinado