Publicado 01/06/2021 16:56

Primera medición de la masa de los cromosomas humanos

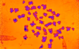
Cromosomas identificados en rayos X por el Diamond Light Source
Cromosomas identificados en rayos X por el Diamond Light Source - UCL

   MADRID, 1 Jun. (EUROPA PRESS) -

   La masa de cromosomas humanos, que contienen las instrucciones para la vida en casi todas las células de nuestro cuerpo, ha sido medida con rayos X por primera vez.

   En un nuevo estudio publicado en Chromosome Research, los investigadores dirigidos por investigadores de la UCL (University College London) utilizaron un potente haz de rayos X en la instalación de sincrotrón nacional del Reino Unido, Diamond Light Source, para determinar la cantidad de electrones en una extensión de 46 cromosomas que utilizaron para calcular la masa.

   Descubrieron que los cromosomas eran aproximadamente 20 veces más pesados que el ADN que contenían, una masa mucho más grande de lo que se esperaba anteriormente, lo que sugiere que podrían faltar componentes aún por descubrir.

   Además del ADN, los cromosomas constan de proteínas que cumplen una variedad de funciones, desde leer el ADN hasta regular los procesos de división celular y empaquetar de manera ajustada hebras de ADN de dos metros en nuestras células.

   El autor principal, el profesor Ian Robinson (Centro de Nanotecnología de Londres en la UCL) dijo en un comunicado: "Los científicos han investigado los cromosomas durante 130 años, pero todavía hay partes de estas estructuras complejas que no se comprenden bien.

   "Conocemos la masa de ADN del Proyecto Genoma Humano, pero esta es la primera vez que hemos podido medir con precisión las masas de cromosomas que incluyen este ADN.

   "Nuestra medición sugiere que los 46 cromosomas en cada una de nuestras células pesan 242 picogramos (billonésimas de gramo). Esto es más pesado de lo que esperaríamos y, si se replica, apunta a un exceso de masa inexplicable en los cromosomas".

   En el estudio, los investigadores utilizaron un método llamado pticografía de rayos X, que consiste en unir los patrones de difracción que ocurren cuando el haz de rayos X pasa a través de los cromosomas, para crear una reconstrucción 3D de alta sensibilidad. La resolución fina fue posible ya que el rayo desplegado en Diamond Light Source era miles de millones de veces más brillante que el Sol (es decir, había una gran cantidad de fotones que pasaban a través de él en un momento dado).

   Se obtuvieron imágenes de los cromosomas en metafase, justo antes de que estuvieran a punto de dividirse en dos células hijas. Esto es cuando las proteínas empaquetadas enrollan el ADN en estructuras muy compactas y precisas.

   Archana Bhartiya, estudiante de doctorado en el Centro de Nanotecnología de Londres en la UCL y autora principal del artículo, dijo: "Una mejor comprensión de los cromosomas puede tener implicaciones importantes para la salud humana.

   "Se lleva a cabo una gran cantidad de estudios de los cromosomas en laboratorios médicos para diagnosticar el cáncer a partir de muestras de pacientes. Por lo tanto, cualquier mejora en nuestra capacidad para obtener imágenes de los cromosomas sería muy valiosa".

   Cada célula humana, en metafase, normalmente contiene 23 pares de cromosomas, o 46 en total. Dentro de estos hay cuatro copias de 3.500 millones de pares de bases de ADN.

Contenido patrocinado