Publicado 18/02/2022 15:32

Argentina.- Un estudio del ICM-CSIC detecta microplásticos en el océano Antártico procedentes de aguas residuales

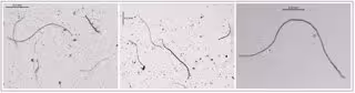
Imagen de microfibras de plástico detectadas en el océano Asutral en un estudio de la Universidad Nacional de Córdoba (Argentina) y el Institut de Cincies del Mar de Barcelona (ICM-CSIC)
Imagen de microfibras de plástico detectadas en el océano Asutral en un estudio de la Universidad Nacional de Córdoba (Argentina) y el Institut de Cincies del Mar de Barcelona (ICM-CSIC) - ICM-CSIC

BARCELONA 18 Feb. (EUROPA PRESS) -

Un estudio de la Universidad Nacional de Córdoba (Argentina) y el Institut de Cincies del Mar de Barcelona (ICM-CSIC) ha detectado la presencia de microplásticos en el océano Austral, que rodea la Antártida, procedentes de las aguas residuales de las lavadoras de las bases antárticas y las embarcaciones que visitan la zona.

El estudio está firmado por Gastón Alurralde y Enrique Isla y es el primero sobre el flujo de microfibras de plástico en la Antártida, "uno de los contaminantes más extendidos del siglo XXI", ha informado ICM-CSIC en un comunicado este viernes.

Los autores confían en que sus resultados sirvan para implantar una regulación que controle este tipo de contaminación ya que la presencia de estos micrplásticos en la zona aumentará "debido al incremento de turistas en la zona".

Para Alurralde, el estudio constata que existe un flujo de microfibras de origen antropogénico en la columna de agua de la costa antártica que varía estacionalmente y que es mayor en verano, "cuando las bases antárticas están más llenas y hay más visitas de turistas".

Por su parte, Isla ha alertado de que la presencia de estas microfibras podría afectar a "todo el ecosistema antártico en su conjunto", ya que los microplásticos son ingeridos por el zooplancton, que es alimento para animales más grandes como los pingüinos.

Contenido patrocinado