Publicado 19/01/2023 18:45

Infosalus.- Crean una 'píldora viva' para combatir infecciones pulmonares resistentes a antibióticos

Liderado por el CRG se ha probado en ratones

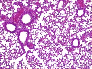
Pulmones de ratón con 'pildora viva' activa combatiendo 'presudomonas aerugionosa'
Pulmones de ratón con 'pildora viva' activa combatiendo 'presudomonas aerugionosa' - CGR/PULMOBIOTICS

BARCELONA, 19 Ene. (EUROPA PRESS) -

Un equipo de investigación del Centro de Regulación Genómica (CRG) y Pulmobiotics ha diseñado una bacteria que actúa como una 'píldora viva' en el pulmón, y el tratamiento reduce las infecciones pulmonares agudas en ratones y duplica la tasa de supervivencia.

El tratamiento se dirige a 'presudomonas aerugionosa', un tipo de bacteria que es naturalmente resistente a muchos tipos de antibióticos y es una fuente común de infecciones en los hospitales, ha informado en un comunicado la Fundación La Caixa, que ha apoyado la investigación a través de la convocatoria CaixaResearch Health.

El tratamiento, cuyo estudio se ha publicado en la revista 'Nature Biotechnology', consiste en usar una versión modificada de la bacteria 'Mycoplasma pneumoniae' eliminando su capacidad patógena y adaptarla para que, en su lugar, ataque a 'presudomonas aerugionosa'.

La bacteria modificada se usa en combinación con dosis bajas de antibióticos que no serían eficaces por sí solas, y los científicos observaron que el uso del tratamiento en ratones redujo significativas las infecciones pulmonares.

DUPLICA SUPERVIVENCIA

La 'píldora viva' duplicó la tasa de supervivencia del ratón en comparación con la opción de no usar ningún tratamiento, y la administración de una única dosis alta no mostró signos de toxicidad en los pulmones.

Una vez que el tratamiento hubo terminado su curso, el sistema inmune innato eliminó las bacterias modificadas en un periodo de cuatro días.

El estudio ha sido elaborado por el CRG y Pulmobiotics en colaboración con el Institut d'Investigacions Biomdiques August Pi i Sunyer (IDIBAPS), el Hospital Clínic de Barcelona y el Instituto de Agrobiotecnología (IdAB), un instituto de investigación del CSIC y el Gobierno de Navarra.

Las infecciones causadas por 'presudomonas aerugionosa' son difíciles de tratar porque la bacteria vive en comunidades que forman biopelículas, que pueden adherirse a varias superficies del cuerpo, formando estructuras impenetrables que escapan al alcance de los antibióticos.

Las biopelículas de esta bacteria crecen en la superficie de los tubos endotraqueales utilizados por pacientes en estado crítico quienes, por lo tanto, requieren ventiladores mecánicos para respirar.

NEUMONÍA ASOCIADA AL VENTILADOR

Esto causa neumonía asociada al ventilador (NAV), una afección que afecta hasta uno de cada cuatro (9-27%) pacientes que requieren intubación, y la incidencia supera el 50% en el caso de los pacientes intubados por covid-19 grave.

La NAV puede prolongar la estancia en la unidad de cuidados intensivos hasta un periodo de trece días, y tiene una tasa de mortalidad que alcanza a uno de cada ocho pacientes (9-13%).

El equipo científico modificó la bacteria para proporcionarle la capacidad de producir varias moléculas, incluidas las piocinas, toxinas producidas naturalmente por las bacterias para matar o inhibir el crecimiento de varias cepas de Pseudomonas.

Para probar su eficacia, recogieron biopelículas de 'presudomonas aerugionosa' de los tubos endotraqueales de pacientes en unidades de cuidados intensivos, y mostraron que el tratamiento atraviesa la barrera y disuelve con éxito las biopelículas.

"Hemos desarrollado un ariete que asedia a las bacterias resistentes a los antibióticos. El tratamiento abre orificios en las paredes celulares y crea unos puntos de entrada fundamentales para que los antibióticos las invadan y eliminen la infección en su origen. Creemos que es una nueva estrategia prometedora para abordar la principal causa de mortalidad hospitalaria", ha afirmado la directora científica de Pulmobiotics, María Lluch.

Con el objetivo de utilizar la "píldora viva" para tratar la NAV, se llevarán a cabo más pruebas antes de llegar a la fase de ensayo clínico, y se prevé administrar el tratamiento con un nebulizador, un dispositivo que transforma el medicamento líquido en una niebla que se inhala a través de una boquilla o de una máscara.

Al demostrar que 'Mycoplasma pneumoniae' puede abordar las infecciones en el pulmón, el estudio abre la puerta al desarrollo de nuevas cepas de la bacteria para abordar otros tipos de enfermedades respiratorias como el cáncer de pulmón o el asma.

"La bacteria se puede modificar con una variedad de cargas activas distintas, ya sean citoquinas, nanoanticuerpos o defensinas. El objetivo es diversificar el arsenal de la bacteria modificada y liberar su potencial en el tratamiento de una variedad de enfermedades complejas", ha afirmado el investigador Luis Serrano.

Contenido patrocinado