Publicado 19/02/2020 15:51

Salud.-Identifican una proteína relacionada con la obesidad que está implicada en el desarrollo del cáncer hepático

Identifican una proteína relacionada con la obesidad que está implicada en el de
Identifican una proteína relacionada con la obesidad que está implicada en el de - UNIGE

MADRID 19 Feb. (EUROPA PRESS) -

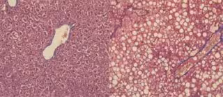
Científicos de la Universidad de Ginebra (Suiza) han identificado que la proteína S100A11, relacionada con la aparición de la obesidad, está implicada en el desarrollo del carcinoma hepatocelular, un cáncer de hígado muy común relacionado con la presencia de grasa en el órgano.

Este tumor puede ocurrir en el contexto de una inflamación crónica del hígado causada por la acumulación excesiva de grasa, por lo que la obesidad es factor de riesgo importante para su desarrollo. La dificultad para detectarlo y la falta de tratamiento específico contribuyen a la gravedad de esta enfermedad, la cual causa la muerte de más de 700.000 personas cada año en todo el mundo.

El hígado participa en el almacenamiento de azúcares y grasas de los alimentos. Si la dieta es demasiado calórica, las células hepáticas acumulan el exceso de energía en forma de grasa, una condición patológica llamada enfermedad del hígado graso. La inflamación y la acumulación de tejido fibroso pueden desarrollarse e, incluso, provocar cirrosis o cáncer.

"Ya sabemos que un hígado graso puede inflamarse y convertirse en cáncer, pero se sabe muy poco sobre los mecanismos moleculares responsables de estas patologías", han explicado los investigadores, cuyo trabajo ha sido publicado en la revista 'Gut'.

Por ello, el objetivo del estudio ha sido conocer los cambios que se producen en la expresión de proteínas específicas que pueden promover el desarrollo del cáncer, comprobando que, en ausencia de alteraciones genéticas, hay una red de proteínas que se desregula y crea un ambiente propicio para el desarrollo del cáncer.

Precisamente entre esta red, la proteína S100A11 llamó la atención de los científicos. "Primero descubrimos que S100A11 promueve la inflamación y la acumulación de tejido fibroso en el hígado y, posteriormente, vimos que cuanto más se expresaba S100A11, mayor era la gravedad del cáncer", han argumentado los expertos.

El siguiente paso va a ser generar anticuerpos específicos capaces de neutralizar la proteína y prevenir su efecto cancerígeno. Este tipo de enfoque, llamado inmunoterapia, ya ha mostrado resultados prometedores en la lucha contra varios tipos de cáncer como, por ejemplo, el melanoma.

Contenido patrocinado