Publicado 05/06/2020 11:18

Salud.-Investigadores impulsan un modelo virtual de pulmón para estudiar las lesiones por tuberculosis

Investigadores impulsan un modelo virtual de pulmón para estudiar las lesiones p
Investigadores impulsan un modelo virtual de pulmón para estudiar las lesiones p - UAB - Archivo

BARCELONA 5 Jun. (EUROPA PRESS) -

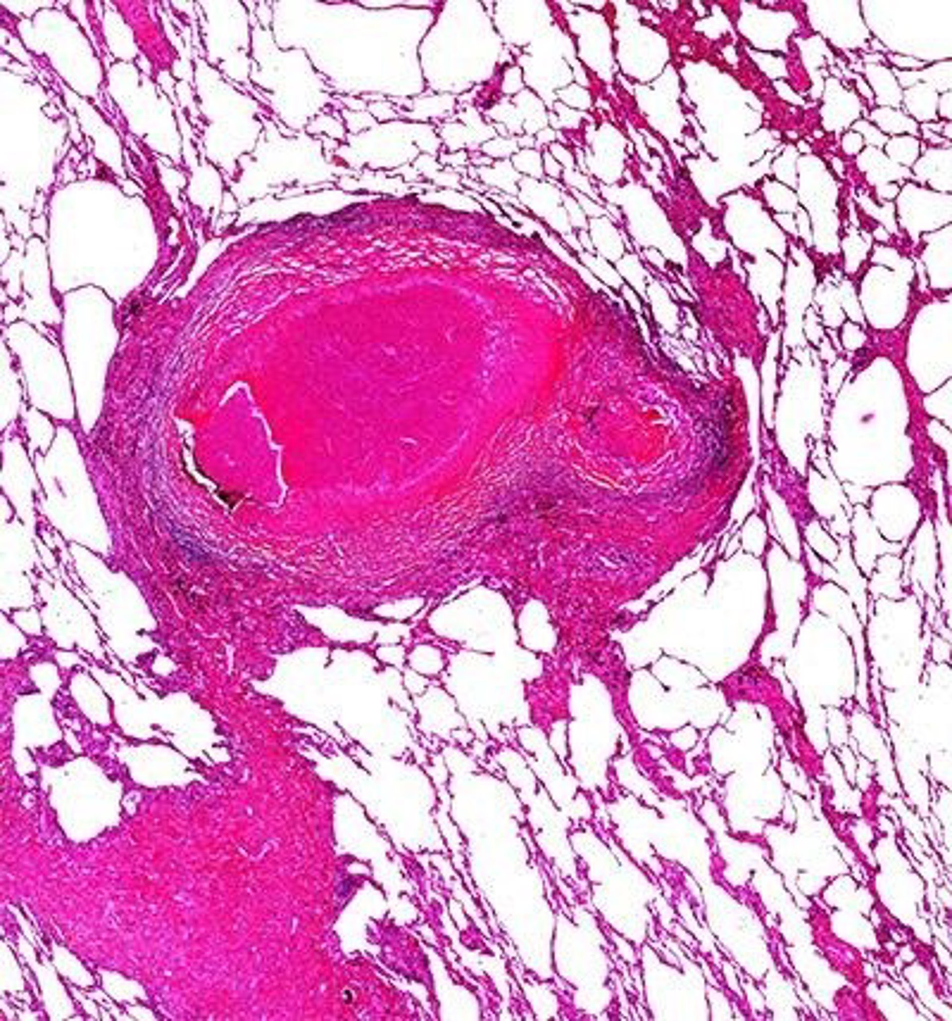
Investigadores de la Unidad de Tuberculosis Experimental del Institut de Recerca Germans Trias i Pujol (IGTP) han publicado los primeros resultados de un modelo computacional que pretende reproducir la dinámica de las lesiones por tuberculosis en un pulmón virtual.

El modelo describe "el crecimiento, la fusión y la proliferación" de lesiones de tuberculosis en un árbol bronquial computacional, construido con a partir de un algoritmo iterativo, ha informado el instituto en un comunicado este viernes.

Permite reproducir y entender los datos experimentales, además de mostrar "una importante relación" entre el número final de lesiones por tuberculosis con la frecuencia de reinfección y el crecimiento de los daños.

Un 90% de las personas infectadas por tuberculosis nunca desarrollaran una enfermedad activa, algo que los investigadores consideran como "uno de los principales obstáculos" para evitar su erradicación.

Este estudio, por lo tanto, se centra en comprender los mecanismos que permiten mantener latente la infección, al no conocer cuales son los principales factores que desencadenan la enfermedad.

Contenido patrocinado